Aparat retencyjny

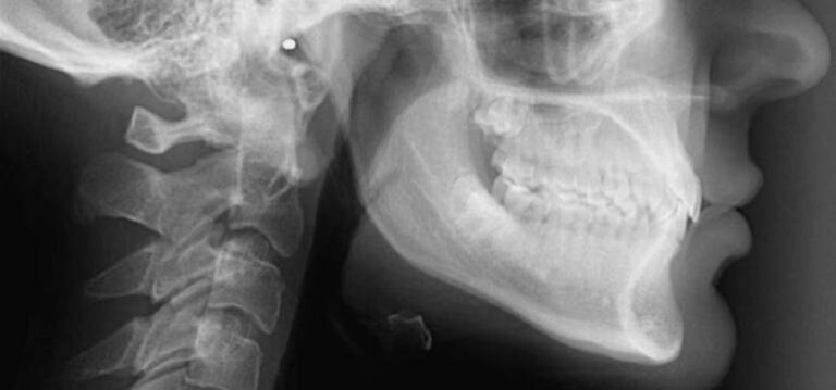
Definicja i znaczenie Aparat retencyjny to specjalistyczne urządzenie stomatologiczne, które stosuje się po zakończeniu leczenia ortodontycznego, ponieważ jego głównym zadaniem jest nie tylko utrzymanie prawidłowego ustawienia zębów, ale także zapobieganie nawrotowi wady zgryzu. W klinice stomatologicznej ortodonta Wrocław dobiera odpowiedni…







